What is femoroacetabular impingement of the hip?
Femoroacetabular impingement (FAI) is a painful condition caused by irritation and inflammation of the hip joint. This can occur because the femoral head (the ball of the hip) pinches up against the acetabulum (cup of the hip joint).
This can be due to extra bone growth on one or both of the bones that form the hip joint, giving the bones an irregular shape. When this happens the bones don’t fit together properly, and therefore rub against each other during movement. Over time this friction can damage the joint, tendon and/or the cartilage surrounding the joint (known as the labrum), causing pain, stiffness and limited activity.
If left untreated it may increase a person’s risk of developing chronic hip joint conditions such as osteoarthritis.
For this reason, timely and effective treatment is essential, for all stages of hip impingement. In this post, we will discuss hip impingement symptoms, causes, and effective treatment options.
Anatomy of the Hip Joint
The hip joint is a ball-and-socket joint, where the socket (acetabulum) in the pelvis holds the ball-shaped top of the thigh bone (femoral head). This joint is covered with a smooth layer of articular cartilage, which allows the bones to glide easily and without friction during movement.
Around the edge of the socket is a ring of cartilage called the labrum, which deepens the socket, helps keep the joint stable, and seals in fluid to keep the hip well-lubricated. Together, these structures allow the hip to move freely, support body weight, and remain stable during everyday activities and exercise.

What causes femoroacetabular impingement of the hip?
The abnormalities associated with FAI are often present at birth. But they can develop later in life, especially during the teenage years. When the hip bones are shaped abnormally, there is little that can be done to prevent FAI.
There are three types of anatomical variation which can lead to femoroacetabular hip impingement:

- Pincer: This type of impingement is caused by extra bone growth which extends over the rim of the acetabulum in the hip socket. The labrum can become pinched by the prominent rim.
- Cam: In this type of impingement, the ball has a more oval than round appearance. This means that the head cannot rotate smoothly in the acetabulum, creating friction when the ball hits the edge of the socket. This repeated friction can cause bony growth on the head of the joint, adding to further impingement.
- Combined: This means that both the cam and pincer types of FAI are present.
When these changes to the bone shape occur, they can cause the hip joint to pinch during movement, particularly affecting the labrum (the ring of cartilage around the socket). Repeated pinching can irritate or damage the labrum over time. This may lead to pain, especially during and after exercise, or when sitting for long periods.

Risk Factors Associated with FIA
Research suggests that the development of femoral acetabular impingement is mainly congenital; i.e. you are born with it. However, there are a number of risk factors associated with femoral acetabular impingement (FAI). These include;
- Hip muscle weakness especially the gluteal muscles
- Hypomobility (reduced range of movement) or hypermobility (excessive range of movement) of the hip joint
- Muscular stiffness/tightness in the muscles surrounding the hip
- Altered gait (walking) pattern
- Previous hip injury such as a fracture
- Pelvic posture
- Type of sporting activity carried out at a young age (adolescent years when growing). For example, it has been shown that those who participate in football at a young age have a predisposition to developing FAI secondary to a CAM lesion.
Because active people tend to work the hip joint more vigorously, they may begin to experience pain earlier than those who are less active. However, exercise does not cause FAI.
What are the symptoms of femoroacetabular impingement of the hip?
Hip impingement can be present for years without symptoms, but when pain develops it’s commonly felt in the groin or outer hip, especially during twisting, turning, running, squatting or deep bending movements.
You may notice stiffness or reduced range of motion, with pain that starts only at end-range movement but progresses to everyday activities like sitting, climbing stairs or walking inclines. If pain becomes constant, disrupts sleep, or the hip feels very stiff first thing in the morning, it may indicate a more advanced stage such as early osteoarthritis.
The most common symptoms of FAI include:
- Moderate to marked hip or groin pain with certain hip movements or positions
- Pain can also be reported in the thigh, back or buttock
- Stiffness and reduced movement in the hip joint
- Clicking and/or catching sensation in the hip
- Locking or giving way
- Decreased ability to perform activities of daily living and sports
- Limping when walking or running
FAI is often misdiagnosed, as there are a number of other conditions that can present quite similarly. It is really important that you seek professional help from one of our physiotherapists, if you feel you may be suffering from this condition.
You can book an appointment by calling our booking team on 0207 482 3875 or send us an email at info@complete-physio.co.uk and we will get back to you asap.
How is femoroacetabular impingement of the hip diagnosed?
To ensure you receive the best and most effective treatment, it is important that an accurate diagnosis of FAI is made as early as possible. An accurate diagnosis requires a detailed clinical examination and diagnostic imaging.
Clinical Assessment of the Hip

At Complete our expert Physiotherapists will carry out a full clinical assessment to ensure that your treatment is based on the whole clinical picture.
Your assessment will start with a consultation, whereby you will be asked questions about your symptoms, aggravating and easing factors, your past medical history, and your normal exercise level.
To confirm what’s going on, and to take some baseline measurements, your physiotherapist will carry out a physical assessment, which may include:
- Testing the range of movement, strength and flexibility of your hip.
- Looking for joint swelling, warmth, or redness
- Feeling for crepitus (a grating sensation inside the joint) or clicking with movement.
- Functional testing such as looking at you walking, squatting, jumping, running.
- Gently, but skilfully, feeling around your hip joint to find exactly where it is most painful.
While the physical examination gives valuable insight, a scan is often needed to confirm whether the impingement is caused by a cam or pincer shape, and to see if there is any associated labral damage.
Diagnostic Imaging for Femoroacetabular Impingement
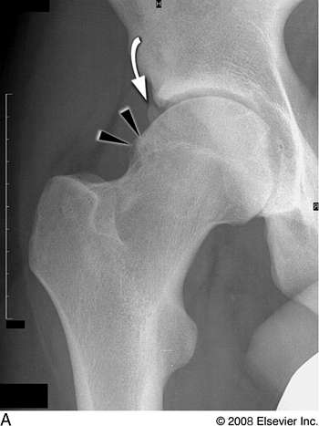
X-Ray
If your clinician suspects femoroacetabular impingement, you may be referred for an x-ray.
This is used to assess the bone and joint structure of the pelvis and proximal femur, and is capable of assessing the shape of the bones of the hip joint as well as the quality of the joint space and presence of degenerative changes in the hip.
However, an X-ray does not show the soft tissues such as the labrum, articular cartilage and tendons which can also be problematic in FAI.

MRI
MRI imaging is highly accurate at assessing both bone and also soft tissue structures around the hip. Research suggests that an MRI is the gold standard diagnostic tool for diagnosing femoral acetabular impingement. An MRI takes a series of images of your hip to create a detailed 3D image of your hip structure.
Diagnostic Ultrasound
Diagnostic Ultrasound is a very useful assessment tool to visualise the outer edge of the hip joint and see any inflammation associated with FIA.
Ultrasound has the additional benefit of being able to assess the joint during movement, as it does not have to be done in a static position. This gives real time information about how the joint and soft tissues of the hip are affected during movement. Where appropriate, ultrasound can also be used to guide an injection into the hip joint to help with the pain associated with FAI.
At Complete we are able to offer a unique service, as many physiotherapists are also highly experienced sonographers, who are able to carry out a diagnostic ultrasound of your hip at your initial appointment.
If you would like to have a diagnostic ultrasound, you will need to make sure you are booked in to see one of our clinical specialists; please mention this when you speak to our booking team.
How do we treat femoroacetabular impingement of the hip?

Femoroacetabular impingement normally responds extremely well to physiotherapy and activity modification.
While it is not possible to reverse the bone and joint changes that occur with FIA, there are a number of treatment options available to help reduce your pain and symptoms, and allow you to live a full and active life.
The main treatment goals of physiotherapy for FIA are:
- Reduce your hip pain and joint inflammation.
- Increase your hip joint range of movement and muscle flexibility.
- Strengthen your lower limb muscles.
- Improve your balance, proprioception and agility.
- Optimise your functional movements and activity level, e.g. walking, squatting, climbing stairs.
Physiotherapy Treatment for Hip Femoroacetabular Impingement
Your highly experienced physiotherapist will provide a specific, tailored, treatment and rehabilitation programme, which may include:
- Relative Rest – Advice activity modification and rest, to allow your pain to settle and minimise the chance of irritating your symptoms further. Prolonged sitting in low chairs and sitting cross legged should be avoided.
- Patient Education – Understanding the cause of your symptoms is an important part of your treatment process. It can give you peace of mind and also help you to take a more active role in your rehabilitation.
- Pain Management – Painkillers and non-steroidal anti-inflammatory medication can often be useful in the early stages of management (any medication needs to be approved by a pharmacist or doctor).
- Manual (hands on) Therapy – Your physiotherapist may use manual therapy such as joint mobilisations or soft tissue techniques, to release the joints, muscles and soft tissues. This will help improve joint movement and reduce muscle stiffness or soreness.
- Range of Movement Exercise – Your physiotherapist may teach you some stretching exercises for your hip joint and surrounding muscles, to help restore normal movement of your hip.
- Hip Strengthening Exercises – Your physiotherapist will design a progressive resistance program to ensure all your lower limb muscle groups are strong. It will specifically target your deep gluteal muscles, which will help to stabilise your hip joint.
- Acupuncture – This can also help with pain levels and muscle tightness around the joint.

- Proprioception and Balance Exercises – Damage to your joints and soft tissues, can have a negative affect on your balance. These exercises will help your brain to reconnect with your hip, and give you a better sense of balance during movement and activities.
- Biomechanical and movement re-education – Lower limb joint injuries can alter your movements, especially walking and running. Your physiotherapist may need to re- teach you how to move correctly.
- Functional and Sports Specific Training – Once your pain, movement and strength have improved, your physio will work on specific, functional training to help you safely resume more demanding activities and sports.
- Pilates – For longer term management Pilates can be extremely beneficial for patients with FIA.
Throughout your treatment sessions at Complete Physio, we will ensure that you feel involved and supported in your recovery process. You will also very likely be asked to complete some exercises independently at home. This is a key component of your treatment programme and will require some commitment and consistency, but will ensure that you recover fully, and more quickly.
What happens if my symptoms aren’t improving?
If physiotherapy treatment has not effectively reduced your pain and symptoms then an ultrasound-guided injection may be appropriate for you. We may advise that an MRI scan is required before an injection is carried out, however this will depend on your specific presentation.
These injections can be particularly beneficial if your pain is affecting your sleep, is limiting your ability to participate in normal daily life and activities, or if you are unable to partake in your Physiotherapy rehab due to severe symptoms.
Ultrasound-guided corticosteroid injection
Ultrasound-guided corticosteroid injection is a highly effective evidence-based treatment option for persistent pain associated with femoral acetabular impingement. An ultrasound-guided injection should provide at least 3 months of pain relief.
Injection therapy should not be used as a stand-alone treatment, but provides you with a window of opportunity to maximise your physiotherapy rehabilitation. Complete recommend that you resume a course of physiotherapy within two weeks after having an injection for FAI, to ensure optimum results.

The image on the left shows the front of a normal hip joint on ultrasound. The image on the right shows fluid (the black space between the two cursors) indicating a significant joint swelling and inflammation. It is not uncommon that this will require an ultrasound guided corticosteroid injection to help the pain.
Complete Physio offers a unique, cost effective injection service.
Our Clinical Specialists are all fully qualified Extended Scope Practitioners (ESP), sonographers and medical prescribers. You don’t need a GP referral for this service and we can often provide a same-day service.
Hyaluronic acid injections
Hyaluronic acid is a naturally occurring substance found that can be injected into the hip joint using ultrasound guidance. HA injections provide lubrication to the hip joint and can help reduce pain and swelling. One HA injection is required, but is often recommended as an annual injection to control the pain.
Platelet rich plasma (PRP)
PRP injections utilise the patient’s own blood to stimulate a healing response. It is a drug free option and has few side effects. Blood is taken from the patient and spun in a centrifuge to produce the PRP. This is then injected using ultrasound guidance into the patient’s hip joint. One to three injections are required depending on the levels of pain, the severity and chronicity of the problem.
Any injection should be followed up with a course of physiotherapy to strengthen the hip joint and surrounding musculature. Physiotherapy will help to return full range of movement to the joint and ensure you get back to full function, whether that is walking, running or cycling.
If you would like more information or would like to book an appointment please contact us on 0207 4823875 or email info@complete-physio.co.uk.
Surgery for Femoroacetabular Impingement of the hip
If tests show joint damage caused by FAI, and your pain is not relieved by nonsurgical treatment, then surgery may be required.
Many FAI problems can be treated with arthroscopic surgery. During a hip arthroscopy, your orthopaedic surgeon can repair or clean out any damage to the labrum and articular cartilage. He or she can also correct the impingement by trimming the bony rim of the acetabulum and/or by shaving down the extra bump on the femoral head.
Some severe cases may require an open operation with a larger incision to accomplish this surgery.
At Complete Physio we work with some of the most experienced and senior orthopaedic consultants in the country. If you require an onward referral, we will ensure that you are provided with the best care possible.
After surgery you will need to resume physiotherapy treatment; you’ll be referred back to your physiotherapist at Complete for a course of post-operative rehabilitation to make sure you achieve the best possible outcome.
If you would like more information or to book an appointment please call 020 7482 3875 or email info@complete-physio.co.uk.
Don’t let pain hold you back, book now!